Um novo estudo conduzido por pesquisadores brasileiros traz luz a um desafio crescente na saúde pública: a dificuldade de distinguir a febre do Oropouche da dengue. Com a circulação simultânea dessas arboviroses, especialmente em cenários de mudanças climáticas e urbanização desordenada, entender as nuances de cada doença tornou-se vital para o manejo clínico adequado.
Publicado na revista científica PLOS Neglected Tropical Diseases, o trabalho intitulado “Perfis clínicos e laboratoriais da doença do vírus Oropouche no surto de 2024 em Manaus” analisou pacientes durante o pico da doença na região amazônica. Embora os sintomas sejam parecidos, a pesquisa identificou marcadores específicos que podem auxiliar médicos e pacientes.
As sutis diferenças entre as arboviroses
De acordo com a médica pesquisadora Maria Paula Mourão, da Rede Revisa, a distinção não é óbvia a olho nu, mas alguns sinais prevalecem no Oropouche:
-
Dor de cabeça: Costuma ser mais intensa do que na dengue.
-
Dores articulares: São mais frequentes e persistentes.
-
Manchas na pele: Tendem a ser mais disseminadas pelo corpo.
-
Exames de sangue: O Oropouche costuma apresentar aumento nas enzimas do fígado.
Já a dengue mantém seu perfil clássico de alerta para a diminuição de plaquetas, maior risco de sangramentos e choque. “Mais importante do que saber o nome da doença é reconhecer rapidamente os sinais de gravidade, como dor abdominal intensa e vômitos persistentes”, alerta a pesquisadora.
Cenário epidemiológico para 2026
A preocupação com o diagnóstico diferencial ganha ainda mais relevância diante das projeções do consórcio InfoDengue–Mosqlimate (FGV e Fiocruz). O estudo estima que o Brasil pode registrar cerca de 1,8 milhão de casos de dengue na temporada 2025–2026.
Embora o número seja inferior aos recordes de 2024, o patamar permanece elevado, com estados como São Paulo e Minas Gerais concentrando a maior parte das notificações. Os pesquisadores destacam que a emergência de outros vírus, como o próprio Oropouche e a Chikungunya, pode “mascarar” os dados reais de dengue devido a falhas no diagnóstico, o que reforça a necessidade de protocolos laboratoriais mais robustos em todo o país.
Dados atualizados da febre Oropouche no Brasil
Segundo o Ministério da Saúde, até outubro de 2025, o Brasil registrou:
-
11.930 casos confirmados.
-
5 óbitos confirmados e outros sob investigação.
-
Presença em 22 das 27 unidades federativas.
Além da Amazônia: o que explica o avanço recorde da febre Oropouche no Sudeste?
Estudo da Unesp aponta que desmatamento, monoculturas e aquecimento global criaram o “cenário perfeito” para a migração do vírus
A febre do Oropouche deixou de ser uma preocupação restrita à região Norte para se tornar um desafio de saúde pública em todo o Brasil. De acordo com dados recentes, o estado de São Paulo saltou de apenas 8 casos em 2024 para 161 até setembro de 2025, um crescimento alarmante que acompanha a tendência nacional. No ano passado, o Espírito Santo liderou as estatísticas com 6,3 mil testes positivos, concentrando quase metade dos casos das Américas.
Mas o que está por trás dessa “invasão” do vírus em áreas antes não afetadas? Um estudo publicado no periódico científico PLOS One por pesquisadores da Unesp, USP e Instituto Butantan, revela que a combinação de fatores ambientais e genéticos é a chave para entender o surto.
O impacto do desmatamento e das monoculturas
A expansão do vírus Orthobunyavirus oropoucheense (OROV) é um exemplo prático de como o desequilíbrio ambiental afeta diretamente a saúde humana — pilar central do conceito de Saúde Única. O pesquisador Tiago Salomão, da Unesp, destaca que as mudanças no uso da terra são fundamentais nesse processo.
-
Perda de biodiversidade: Quando a mata nativa é substituída por pastagens ou soja, os predadores naturais dos maruins (transmissores da doença) desaparecem, permitindo que o inseto se multiplique sem controle.
-
Cultivos específicos: Plantações de banana, dendê e algodão favorecem a reprodução do mosquito-pólvora, pois o acúmulo de matéria orgânica no solo serve de alimento para as larvas.
-
Zonas de transição: Áreas periurbanas, onde a cidade encontra o campo, têm registrado os maiores índices de infecção.
Calor, umidade e mutações genéticas
As condições climáticas extremas de 2024 e 2025, impulsionadas pelo fenômeno El Niño e pelo aquecimento global, criaram o ambiente ideal para o vetor. Temperaturas e índices de chuva acima da média aceleram o ciclo de vida do maruim e a replicação do vírus.
Além das questões ambientais, a ciência identificou uma mudança no genoma do vírus. Testes laboratoriais mostram que uma nova cepa recente pode atingir concentrações até cem vezes mais altas em células de mamíferos do que a versão anterior, o que pode explicar a maior facilidade de transmissão e a capacidade do vírus de “driblar” o sistema imunológico de quem já teve a doença.
Leia mais
Antes restrita à Amazônia, febre oropouche se espalha pelo país
Febre oropouche: aumento de casos preocupa especialistas
Alerta para riscos da infecção por oropouche durante a gravidez
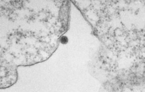
O inimigo invisível: imagens revelam como o vírus Oropouche invade células humanas
Registros inéditos amplificados em 50 mil vezes detalham o processo de replicação do vírus em laboratório
Para combater uma arbovirose com potencial epidêmico, a ciência precisa “enxergar” o inimigo. Em um avanço significativo para a virologia brasileira, pesquisadores do Instituto Oswaldo Cruz (IOC/Fiocruz) conseguiram registrar, através de microscopia eletrônica de transmissão, o exato momento em que o vírus Oropouche infecta células.
As imagens, que fazem parte de uma pesquisa recém-publicada pela instituição, mostram o patógeno isolado de um paciente real. O estudo permitiu observar as partículas virais em detalhes nunca antes vistos, com ampliações de até 50 mil vezes, revelando como o vírus se organiza e se multiplica dentro do organismo.
Por que essas imagens são cruciais para a Saúde Pública?

O entendimento da morfologia e do comportamento do vírus é um pilar fundamental da Saúde Única. Conhecer a biologia do Oropouche permite:
-
Desenvolvimento de Medicamentos: Ao entender como o vírus entra na célula, cientistas podem buscar substâncias que bloqueiem esse processo.
-
Melhoria de testes: A identificação visual ajuda a validar novos métodos de diagnóstico, como os dispositivos Point-of-Care desenvolvidos pelo IPT.
-
Acompanhamento de mutações: Como vimos anteriormente, o Oropouche passou por mudanças genéticas que o tornaram mais virulento; a microscopia ajuda a monitorar se essas mudanças alteram sua estrutura física.
O trabalho do IOC/Fiocruz reafirma a importância das instituições públicas de pesquisa no monitoramento das arboviroses. Em um cenário onde o desmatamento e o calor extremo favorecem a dispersão de vetores, a rapidez da resposta científica é o que separa um surto controlado de uma crise sanitária.
O conceito de saúde única na prática
A expansão do Oropouche — que em 2024 deixou de ser uma exclusividade da região Norte para atingir outros estados — é um exemplo claro da importância da Saúde Única. O conceito defende que a saúde humana, animal e ambiental são interdependentes.
No caso do Oropouche, o transmissor é o mosquito maruim (Culicoides paraensis), que se reproduz em ambientes com muita matéria orgânica em decomposição. O desmatamento e as alterações no uso da terra empurram esses vetores para áreas urbanas, conectando o desequilíbrio ecológico diretamente ao surgimento de epidemias humanas.
Quando buscar ajuda médica?
Independentemente do diagnóstico final, o protocolo de cuidado é semelhante nos estágios iniciais. Grupos de risco, como gestantes, crianças e idosos, devem procurar atendimento imediato ao primeiro sinal de febre.
A prevenção também segue caminhos distintos: enquanto o combate ao Aedes aegypti foca em eliminar água parada, o controle do maruim exige a gestão de resíduos orgânicos e proteção individual com repelentes específicos, uma vez que o vetor do Oropouche é muito menor e possui hábitos diferentes do mosquito da dengue.
Vida e Ação na Saúde Pública
No portal Vida e Ação, acreditamos que a inovação tecnológica deve caminhar junto com a preservação ambiental. Ao agilizar o diagnóstico de doenças que saltam dos animais para os humanos devido ao desequilíbrio ecológico, protegemos o ecossistema de forma integrada.
Acompanhe nossa seção de Dengue e Arboviroses para mais atualizações sobre o monitoramento dessas doenças e dicas de prevenção baseadas em evidências científicas.
Com Assessorias







